Koroner arter hastalığı, kalbi besleyen damarların ateroskleroz nedeni ile daralması ya da tıkanması durumu olarak açıklanabilir. Bu tablo ...
Diş eti flap operasyonu, lokal anestezi ile birlikte diş etlerinin alt kısmına yapılan ameliyat olarak tanımlanmaktadır. Yaklaşık bir saat süren ...
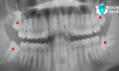
Ağızda en geç çıkan dişler yirmilik dişlerdir. Bu dişler üst ve alt çenede bulunan iki adet büyük azı dişlerinin çabucak yanından çıkmaktadır. Bu ...
Piezo Burun Estetiği Nedir? ‘Piezo Burun Estetiği‘ burun kemiğini kırmadan, burundaki damar ve hudutlara ziyan vermeden ses dalgaları ile ...
Ağız, diş ve çene cerrahisi; ağız içerisinde yer alan hem yumuşak ( yanak, damak, lisan, dudak, kaslar vb.) hem de sert dokularda (dişler ...
Biz Çene Cerrahlarini en çok düşündüren mevzulardan biriside implant ameliyatlarinda antibiyotik kullanımının gerekli olup olmadiğidir ...
Gömük Diş Nedir? Gömülü 20 'lik dişler: Gömülü diş ve 20 yaş diş Hastalalarının en çok yakındığı şikayetlerinin başında ağrı ve şişlik gelir ...
Gömülü 20 yaş dişlerininin en kıymetli belirtileri ağrı ve şişliktir. Bu bahiste yapılmış yüzlerce makale göstermiştir ki hastanın yaşı ...
Ameliyat başarılı olsa dahi ameliyattan sonraki periyotta hayat mühleti ve çıkabilecek sorunlar ameliyatın zamanlamasından etkilenir. Kalp ...
Kalp hastalıkları günümüzde ani ölümlere neden olan en önemli faktördür. Kalp sıhhatinin korunması hakkında yapılan çalışmalar, kalp hastalıkları ...
Son Yorumlar